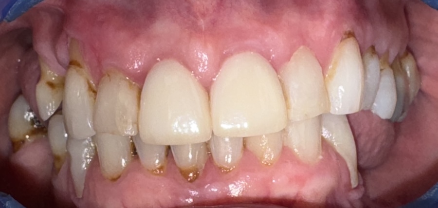
These patients came in feeling self-conscious about their teeth. The doctor placed crowns on all of their teeth, giving them a beautiful, even smile. They were thrilled with the results and left feeling much more confident.
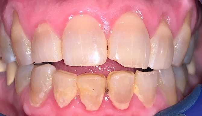
Case 2
Before
After
These patients also received crowns to restore their smiles. Before treatment, they felt insecure about their teeth, but after, they were extremely happy with the outcome and loved showing off their new smiles.