Tue & Wed: 10:00am – 5:00pm, Sat: 9:00am – 2:00pm
Phone
Hours
Follow us

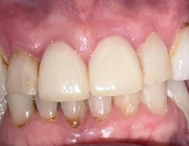
Case 1

These patients came in feeling self-conscious about their teeth. The doctor placed crowns on all of their teeth, giving them a beautiful, even smile. They were thrilled with the results and left feeling much more confident.

Anonymous
Case 1 Before
Case 1 After