Tue & Wed: 10:00am – 5:00pm, Sat: 9:00am – 2:00pm
Phone
Hours
Follow us

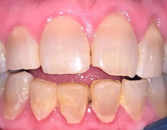
Case 2

These patients also received crowns to restore their smiles. Before treatment, they felt insecure about their teeth, but after, they were extremely happy with the outcome and loved showing off their new smiles.

Anonymous
Case 2 Before
Case 2 After